Na ratunek ślepce Feli! Pomóż poskładać jej życie!

Obrazek posta

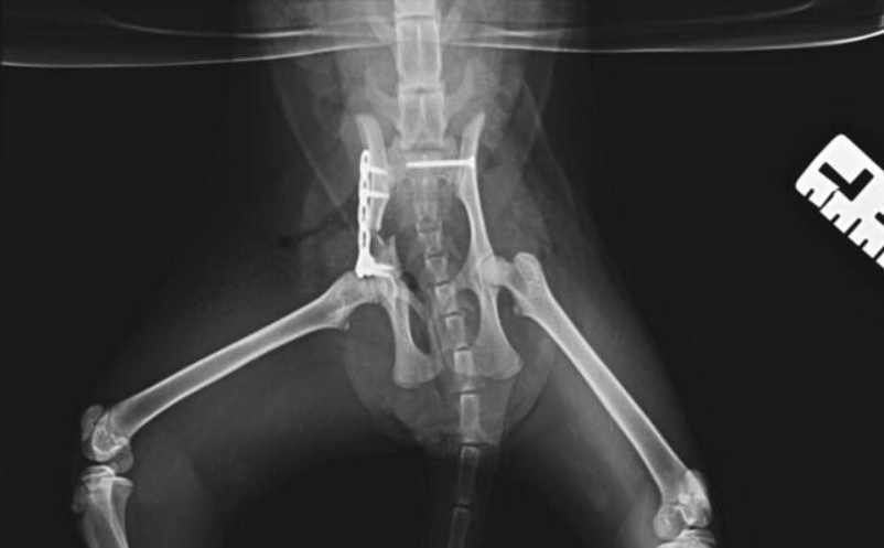
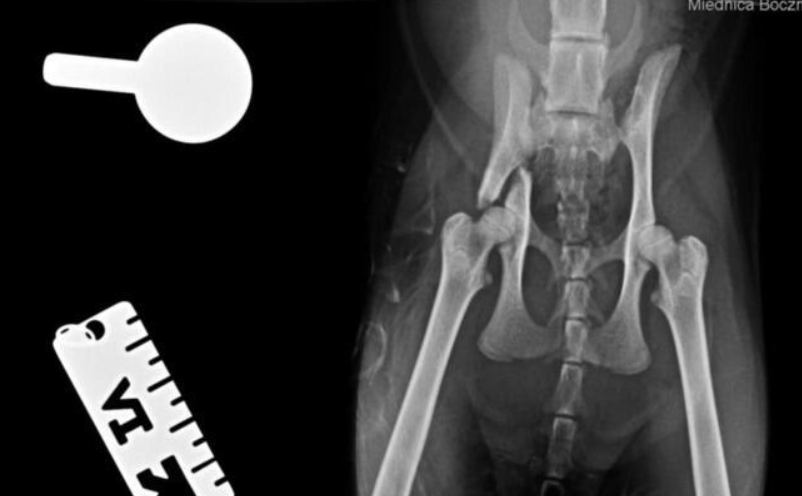
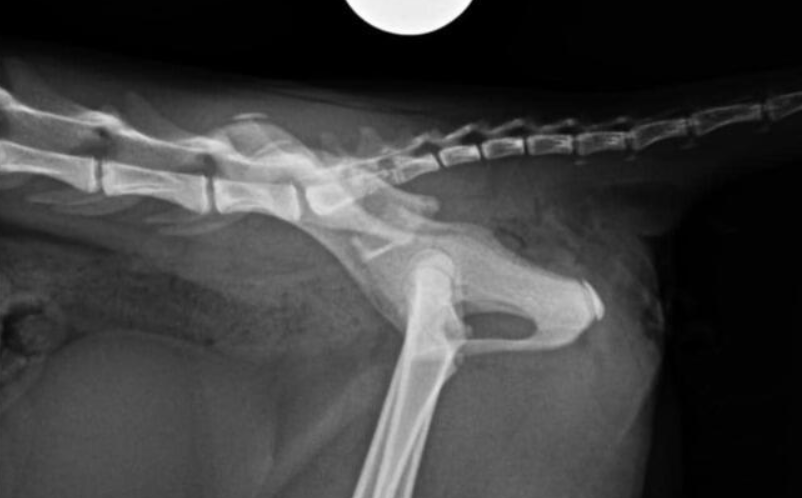
Kotka została znaleziona pod blokiem przez cudowną osobę, która nie pozostała obojętna i natychmiast powiadomiła odpowiednie służby! W wyniku upadku Felcia odniosła bardzo poważne obrażenia: przesunięcie kręgów w odcinku krzyżowym kręgosłupa, złamanie miednicy i zwichnięcie stawu biodrowego. Na szczęście zachowała czucie, więc mamy wielką nadzieję na powrót małej do pełnej sprawności, do czego długa droga...

Kicia jest już pod opieką naszej fundacji! Jest już po skomplikowanej operacji, której podjął się znakomity ortopeda, doktor Kacper Weigel. Z całego serca dziękujemy Panu doktorowi oraz całemu zespołowi Kliniki Weterynaryjnej Puławska za błyskawiczną pomoc i zaangażowanie! Wszystko się udało i po 6 tygodniowym unieruchomieniu w kennelu rozpoczniemy rehabilitację.

Niestety pozostał rachunek, którego bez Was nie udźwigniemy. Sama operacja i 3 dni hospitalizacji oraz badań w klinice na Puławskiej to 6.545 zł.

Jeszcze nie zebraliśmy pieniędzy potrzebnych Treflowi (zbiórka trwa), kocurkowi po wypadku, a już przygniotło nas następne nieszczęście. W międzyczasie, oczywiście, cały czas nasi podopieczni przechodzą operacje, są diagnozowani i leczeni, co generuje comiesięczne, ogromne koszty. Dwoimy się i troimy, ale nasze finanse leżą na łopatkach.

Najważniejsze jest, że Felcia żyje, że operacja się udała i że jest nadzieja, że będzie chodzić! Wielkie to szczęście w nieszczęściu! Niestety wielki jest też strach o to czy zdołamy za to wszystko zapłacić.

Rzadko błagamy, ale tym razem musimy użyć tego słowa. Kochani Przyjaciele, nie opuszczajcie małej ślepki Feli, prosimy!

 

Wiemy, jak trudne są czasy i jak trudno jest wygospodarować "wolny pieniądz", ale jeśli możecie przekazać ślepce Feli choć złotówkę, uczyńcie to, bardzo prosimy. My zaś obiecujemy zrobić wszystko, by za jakiś czas ucieszyć Wasze serca widokiem w pełni sprawnej Feli. Bo przecież wreszcie będzie dobrze, prawda?!

Wierzymy, że i tym razem wspólnie uratujemy tę przekochaną, czarniutką istotkę. Że stanie beztrosko na czterech łapkach i znów będzie mogła cieszyć się życiem! Za najdrobniejszą nawet pomoc dziękujemy z całego serca i z całych sił.

Zobacz również

Wiosenne aktualności w Ja Pacze Sercem
Smacznego jajeczka życzą kociaki-ślepaki!
Wiosna w sercu, ogonki w domach, a my… pakujemy się na kiermasze! 🌷🐾

Komentarze (0)

Trwa ładowanie...